El hombre dijo que no podía tragar alimentos sólidos después de su operación inicial.
12/08/2019 14:20
Escuchar esta nota
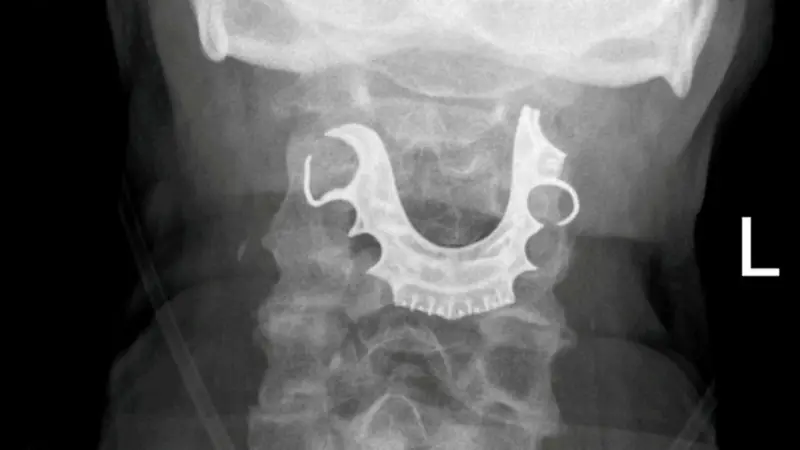
La dentadura postiza de un hombre de 72 años se encontró alojada en su garganta ocho días después de la cirugía, lo que provocó complicaciones y lo obligó a someterse posteriormente a un procedimiento de emergencia.
El hombre, un electricista retirado, se sometió a una "operación menor" para extraer un bulto benigno en su estómago cuando sus dentaduras postizas, una placa de techo de metal con tres dientes postizos, se desprendieron, informó SWNS, citando informes de casos de BMJ. SWNS no dijo de dónde es el hombre o dónde se realizó la cirugía.
Unos seis días después del procedimiento, el jubilado se quejó de que no podía tragar alimentos sólidos. También notó sangre en su boca. Según los informes, los médicos no pudieron determinar qué estaba causando las dolencias del hombre y le recetaron enjuagues bucales, esteroides y antibióticos.
Pero no mejoró y fue ingresado en el hospital solo dos días después. Los médicos le dijeron a los médicos que "vieron un objeto semicircular sobre sus cuerdas vocales", según SWNS.
Luego, el hombre se sometió a una cirugía de emergencia para extraer la dentadura postiza de su garganta. Pasó seis días en el hospital antes de ser dado de alta, solo para regresar nuevamente debido a la pérdida excesiva de sangre.
Según los informes, el hombre requirió varias transfusiones de sangre debido a una rotura en una de sus arterias. Aproximadamente una semana después, el hombre estaba recuperándose.
"La presencia de dientes postizos o placas dentales debe documentarse claramente antes y después de cualquier procedimiento quirúrgico, y todos los miembros del equipo quirúrgico deben estar al tanto de lo que se debe hacer con ellos", escribieron, según SWNS.
Mira la programación en Red Uno Play
22:40
00:00
01:00
03:00
05:55
06:00
22:40
00:00
01:00
03:00
05:55
06:00
